Icon White Spot Removal
at Dentalcare TrowbridgeWhat are White Spots?Trowbridge
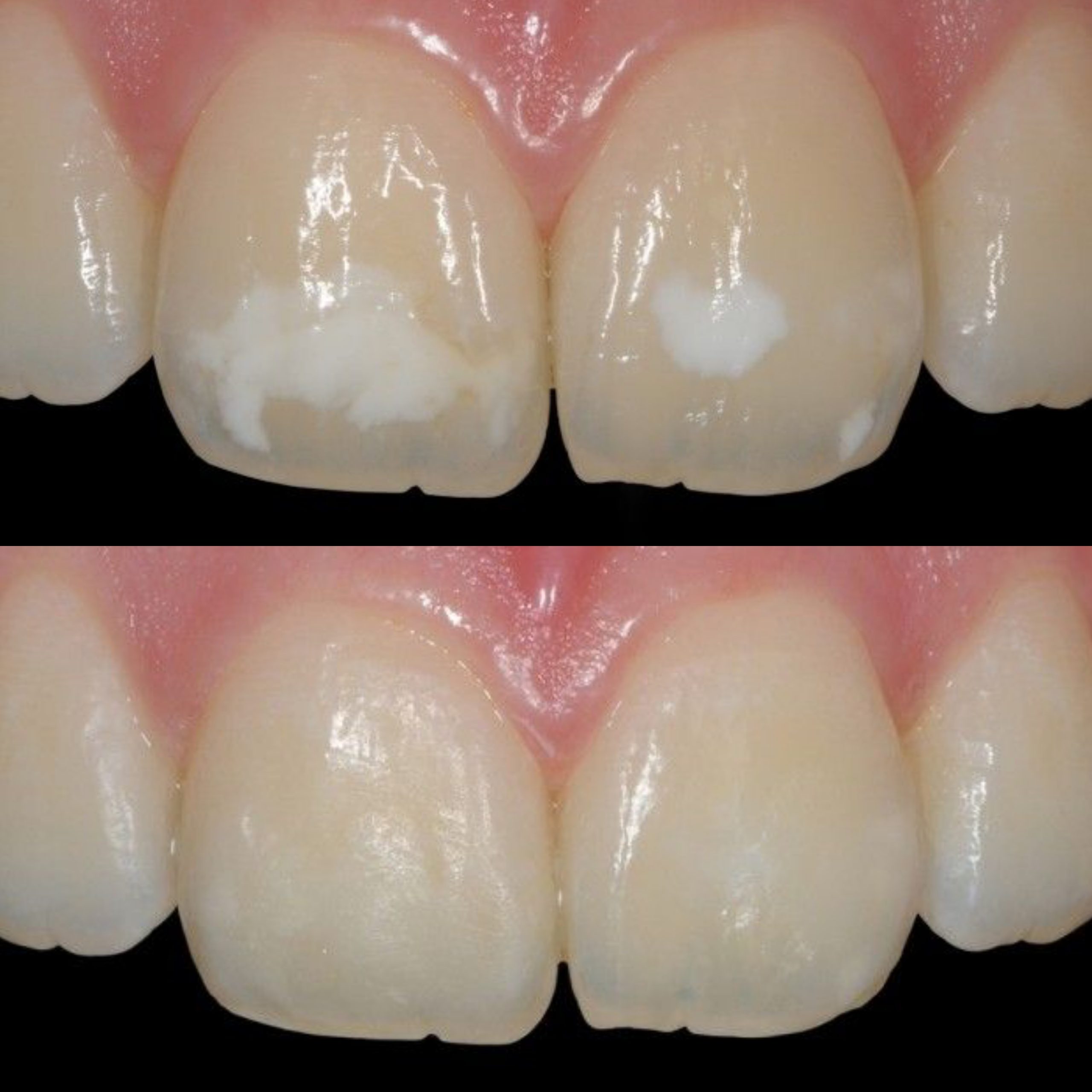
White spots form when minerals are lost from enamel, leaving tiny pores where air gets trapped — that’s what makes them look white.
ICON smooths and fills those spots, restoring your tooth’s colour with ZERO drilling or injections.
Traditional treatments such as veneers or crowns, can be invasive, costly, and time-consuming.
ICON Resin Infiltration offers a minimally invasive and comfortable alternative in only one appointment.
What can cause White Spots on teeth?Trowbridge
– Fluorosis– Overexposure to fluoride during childhood when the teeth are developing.
– Molar Incisor Hypomineralisation (MIH): a qualitative defect causing enamel to be discoloured, sensitive, and prone to breakdown.
– Enamel Hypoplasia– a a quantitative defect where the enamel layer is reduced in thickness, leading to pits, grooves, or missing enamel.
– Braces– Plaque accumulation around brackets can lead to decalcified areas.
– Acidic or Sugary Diet– Frequent exposure to acidic or sugary foods and drinks can weaken enamel.
– Dry Mouth (Xerostomia)– Lack of saliva reduces the mouth’s ability to remineralise the enamel.
– Poor Oral Hygiene– Especially during orthodontic treatment, it increases the risk of demineralization.
– Early Tooth Decay (Caries)– White spots can be the first visible sign of a cavity starting to form.
– Medication Side Effects- Antibiotics such as tetracycline taken during childhood.
– Health conditions such as celiac disease
How does ICON treatment work?
ICON treatment is usually carried out in one appointment. A gel is applied to the spots which will open the pores of the tooth. A resin will then be applied to your tooth, restoring its colour.
Can I treat more than one tooth?
Yes, you can have ICON applied to as many teeth as you need.
Who can get ICON White Spot Removal?
Both children and adults can use the ICON system.
How long do ICON results last?
Effects can last from a few years to a lifetime with good oral hygiene habits and lifestyle. It’s important to continue brushing twice a day, flossing, and seeing your dentist regularly to maintain the best results.
How much does it cost?
£350 per tooth.
01225 430 545
We’re happy to discuss your options on the phone.
Book your appointment for Icon White Spot Removal
Dental fees
At Dentalcare Trowbridge, we treat every patient as an individuals, therefore each treatment plan is completely bespoke.
Finance
We offer finance options because we believe everyone should be able to benefit from high-quality dental care.
Before & after
We are often told by our patients that the dental treatments we have provided has dramatically improved their quality of life.